In questo articolo parliamo in dettaglio dell'operazione per piede piatto adulto:
- Quando è necessario operare il piede piatto nell’adulto?
- Quali tipi di interventi esistono per il paziente adulto?
- Planning, anestesia e decorso post-operatorio
- Rischi e possibili complicanze dell’intervento
Quando è necessario operare il piede piatto nell’adulto?
Il piede piatto non è sempre una patologia. Esistono molti piedi piatti flessibili che funzionano bene e non necessitano di alcun trattamento, se non un’adeguata prevenzione con stretching e rinforzo muscolare. In questi casi naturalmente non è necessaria un'operazione.
Il problema nasce quando il piede, con il tempo, diventa instabile. Questo quadro prende il nome di progressive collapsing foot, cioè piede progressivamente collassante. In questa fase il tendine tibiale posteriore, il principale stabilizzatore dell’arco plantare, inizia a soffrire e il piede tende a deformarsi: si gonfia, il passo diventa doloroso e possono comparire deformità secondarie come le dita a martello o l'alluce valgo.
Questi sono i casi da monitorare attentamente e da valutare per un'operazione al piede piatto adulto, se la deformità continua a progredire. Intervenire precocemente permette di correggere il piede con procedure meno invasive, come le osteotomie, evitando interventi più complessi come le artrodesi.
Quali tipi di interventi esistono per il paziente adulto?
Le opzioni chirurgiche per l'adulto variano in base al tipo di piede e alla gravità della deformità.
1. Calcaneo stop
È una tecnica utilizzata nei bambini, ma non adatta all’adulto. Nel mio studio pubblicato su Foot and Ankle Clinics, ho dimostrato che nell’adulto questa procedura presenta un tasso di fallimento elevato: circa il 30% dei pazienti necessita della rimozione della vite o della protesi, con perdita della correzione ottenuta.
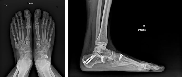
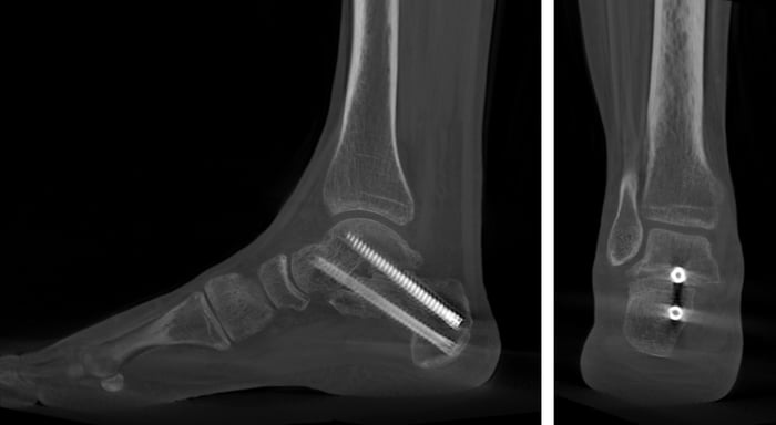
2. Osteotomie e bilanciamento tendineo-legamentoso
Si tratta di una delle soluzioni più efficaci per l'operazione del piede piatto adulto. Il piede infatti è come una marionetta: non basta raddrizzarlo con un taglio osseo (osteotomia), bisogna anche bilanciare le “corde”, cioè i tendini e i legamenti.
Grazie alla TAC in carico e a un sistema di planning personalizzato guidato da intelligenza artificiale, il mio team realizza interventi mini-invasivi, con incisioni inferiori ai 2 cm, tempi chirurgici inferiori a un’ora e un recupero più rapido.

Le tre osteotomie principali per i casi più complessi sono:
- Osteotomia di medializzazione del calcagno (OMC)
- Lateral column lengthening (Evans o Hinterman)
- Osteotomia del primo cuneiforme secondo Cotton
Queste vengono stabilizzate con mezzi in titanio anallergico e consentono carico immediato dopo l’intervento.
3. Artrodesi
Quando il piede è molto rigido o la deformità è estrema, la soluzione è l’artrodesi. In questo caso si blocca l’articolazione tra calcagno e astragalo, limitando i movimenti di inversione ed eversione ma preservando la flessione e l’estensione della caviglia.

Se presenti deformità associate come piede piatto valgo, alluce valgo o dita a martello, queste possono essere corrette nello stesso intervento o in un secondo tempo, a seconda della situazione clinica e della capacità di guarigione del paziente.
Planning, anestesia e decorso post-operatorio dell’operazione per piede piatto adulto
Il percorso per l'operazione del piede piatto adulto parte da un planning personalizzato:
- Minimo: RX dei piedi in carico bilaterale (Rx eseguite in piedi)
- Avanzato: TAC in carico bilaterale (TAC eseguita stando in piedi)
Siamo stati i primi in Italia a utilizzare questa tecnologia e i primi al mondo a sviluppare un sistema di realtà aumentata che guida il chirurgo in sala operatoria, garantendo più precisione, velocità e meno complicanze.
Anestesia
L’intervento viene eseguito in anestesia periferica, moderna e sicura. Il paziente può essere sedato, se lo desidera, per affrontare l’intervento in serenità.
Il nostro protocollo prevede un blocco anestetico ripetuto dietro al ginocchio, che elimina il dolore nelle prime 24 ore post-intervento.
Per i pazienti più ansiosi o con dolore cronico, proponiamo un blocco anticipato con sonda crio o radiofrequenza tre settimane prima dell’intervento, per ridurre il dolore nei primi 4-6 mesi di recupero.
Decorso post operatorio
La dimissione avviene dopo una o due notti di ricovero, con carico immediato protetto da stivaletto gessato in vetroresina.
Il paziente acquisirà le capacità di camminare e stare in piedi durante il ricovero, che ha l'obiettivo di dargli consapevolezza per il suo decorso a casa. Le tappe seguenti sono:
- Prime 3 settimane: cammino assistito (15 minuti, 4 volte al giorno).
- Dopo 3 settimane: rimozione del gesso e delle suture, eseguibile nei nostri centri di Milano, Genova, Firenze, Roma, Salerno e Cagliari.
- Dopo 45 giorni: ritorno alla guida.
- Dopo 2 mesi: recupero del benessere con possibili dolori residui.
- Dopo 4-5 mesi: ritorno alle attività sportive.
La riabilitazione è parte integrante del successo dell’intervento: rieducazione al passo (anche in acqua), rinforzo del tricipite e lavoro su equilibrio e stretching.
Rischi e possibili complicanze dell’intervento
Come per ogni intervento chirurgico, anche per il piede piatto adulto esistono rischi, seppur contenuti.
Secondo la letteratura internazionale, le complicanze principali includono:
- Ritardi di guarigione delle ferite
- Infezioni
- Irritazioni dei mezzi di sintesi
- Rigidità articolare
- Rari casi di trombosi venosa
Il tasso complessivo di complicanze è basso, soprattutto quando l’intervento è pianificato con tecnologia avanzata e seguito da un percorso riabilitativo personalizzato.
Bibliografia
- Efrima B, Benady A, Dahmen J, Kerkhoffs GMMJ, Karlsson J, Usuelli FG. Revolutionising orthopaedic imaging: From 2D radiography and computed tomography to 3D volumetric radiography. J Exp Orthop. 2025 Feb 13;12(1):e70161. doi: 10.1002/jeo2.70161. PMID: 39957835; PMCID: PMC11826055.
- Efrima B, Barbero A, Benady A, Halimi YG, Dahmen J, Kerkhoffs GMMJ, Karlsson J, Indino C, Maccario C, Usuelli FG. The Battleship technique: A reliable method to quantify intraarticular distance maps patterns and correlate hindfoot alignment. J Exp Orthop. 2025 Mar 7;12(1):e70190. doi: 10.1002/jeo2.70190. PMID: 40059955; PMCID: PMC11888772.
- Efrima B, Barbero A, Ramalingam K, Indino C, Maccario C, Usuelli FG. Three-Dimensional Distance Mapping to Identify Safe Zones for Lateral Column Lengthening. Foot Ankle Int. 2023 Oct;44(10):1061-1069. doi: 10.1177/10711007231185328. Epub 2023 Aug 5. PMID: 37542418.
- F.G. Usuelli, U. Alfieri Montrasio. The calcaneo stop procedure. Foot and Ankel Clinicis, June 2021