ARTROSI DI CAVIGLIA
L’artrosi di caviglia è una malattia cronica e degenerativa che colpisce l’intera articolazione. Riguarda soprattutto la struttura scheletrica e la cartilagine, ma va ad interessare indirettamente anche legamenti e muscoli.
Di seguito descriviamo i sintomi, le cause e le cure efficaci per questa patologia.
- Cos'è l'artrosi di Caviglia
- Il piede artrosico?
- Le cause dell’artrosi di caviglia
- Sintomi dell’Artrosi di Caviglia
- Diagnostica
- Come si cura l’artrosi di caviglia?
- Artrosi di caviglia: terapie conservative
- Come prevenire l’artrosi di caviglia?
- Chirurgia e protesi di caviglia
- Ricovero
- Ritorno in campo
- La ricerca scientifica e l’artrosi di caviglia
- FAQ
Cos’è l’artrosi di caviglia
L’artrosi di caviglia è una patologia degenerativa, causata dalla progressiva perdita del tessuto cartilagineo, che normalmente riveste i capi articolari, fino ad esporre l’osso sottostante (osso sub-condrale) e determinare una progressiva alterazione della morfologia dell’articolazione.
Non va confusa con l’artrite alla caviglia, una condizione di natura infiammatoria che può avere sintomi sovrapponibili, come dolore e rigidità.
Tuttavia, entrambe le patologie hanno un impatto significativo sulla qualità della vita, limitando la capacità di movimento e aumentando il rischio di alterazioni artrosiche.
L'osteoartrosi o artrosi di caviglia è una malattia cronica che può interessare non solo le articolazioni della caviglia (artropatia), ma anche tutte quelle del rachide, degli arti superiori e inferiori, e del piede, come nell’artrosi astragalo-scafoidea, una forma meno comune ma altrettanto debilitante.
Pertanto, non è una malattia della sola cartilagine, ma dell’intera articolazione: strutture scheletriche, legamentose, capsulari e persino i muscoli, deputati al movimento dell’articolazione, risultano coinvolti.

Parlando nello specifico della caviglia, il dr. Steven Raikin (ortopedico dell’Istituto di Rothman, a Filadelfia, e membro dell’AOFAS) ha di recente dimostrato come l’artrosi di caviglia abbia un impatto estremamente negativo sulla qualità della vita di chi ne è affetto, con conseguenze paritetiche a quelle generate dall’artrosi dell’anca e addirittura peggiorative rispetto a quelle dell’artrosi del ginocchio.
In generale, la prevalenza dell’artrosi è direttamente correlata all’età. Tuttavia, nel caso dell’artrosi di caviglia questa evidenza non vale. Infatti, la caviglia, al contrario del ginocchio e dell’anca, è un’articolazione che noi medici definiamo estremamente congruente, in quanto una superficie articolare corrisponde esattamente all’altra.
Questo, se per un verso rappresenta un fattore protettivo nei confronti dell’artrosi degenerativa, dall’altro spiega come un evento traumatico, in grado di alterare l’anatomia della caviglia, sia sufficiente a determinare gravi alterazioni artrosiche.
Pazienti che hanno riportato fratture malleolari, di tibia, perone, astragalo o calcagno, anche se guarite (più o meno bene), sono candidati a sviluppare artrosi di caviglia. A questi si aggiungono i pazienti affetti da instabilità di caviglia per lesioni legamentose o per deformità.
Nella restante parte dei casi, l’artrosi di caviglia è causata da malattie sistemiche infiammatorie croniche, come l’artrite reumatoide, o altre patologie in grado di indurre alterazioni articolari, come l’emofilia.
Il piede artrosico
Il piede artrosico è una condizione patologica che si verifica quando l’artrosi non si limita alla caviglia, ma coinvolge anche altre articolazioni del piede, come quelle del tarso. Questa situazione può derivare da traumi, malformazioni congenite o sovraccarichi funzionali e si manifesta tipicamente con sintomi debilitanti.
I principali segnali del piede artrosico includono:
- deformità progressiva delle articolazioni;
- dolore cronico e persistente, che può intensificarsi durante il movimento;
- difficoltà nella deambulazione e nella gestione delle attività quotidiane.
Per migliorare questa condizione, è fondamentale agire tempestivamente. Nei casi iniziali, terapie conservative come la fisioterapia, l’utilizzo di plantari ortopedici o farmaci antinfiammatori possono ridurre il dolore e migliorare la funzionalità.
Nei casi più avanzati, si può ricorrere a interventi chirurgici personalizzati, per ristabilire l’equilibrio biomeccanico del piede.
Le cause dell’artrosi di caviglia
L’artrosi di caviglia si distingue dalle altre forme di artrosi per un profilo clinico particolare. Le sue cause principali sono:
-
traumi, come fratture o lussazioni;
- malattie infiammatorie sistemiche, come il lupus o l’artrite reumatoide.
Il paziente tipico è giovane, di età compresa tra i 30 e i 50 anni e presenta una storia di trauma, come una frattura. Può essere ad esempio una frattura della caviglia, di tibia e perone, del pilone tibiale, malleolare, bimalleolare o trimalleolare.
Mi spiego meglio. In generale, la comparsa dell’artrosi è direttamente correlata all’età. A differenza di altre articolazioni, la caviglia possiede superfici articolari estremamente congruenti, che si interfacciano in modo quasi perfetto fra di loro, come un puzzle. Questa caratteristica riduce la probabilità di usura legata all’età e spiega perché l’artrosi di caviglia è spesso una conseguenza di traumi pregressi.
Il 70% circa dei casi di artrosi alla caviglia ha infatti origine post-traumatica: deriva quindi da una frattura o da una lussazione della caviglia stessa, che può influenzare l’intero arto inferiore.
Ecco spiegato, proprio per la sua natura post-traumatica, perché questa patologia colpisce solitamente i giovani, più facilmente soggetti a traumi ad alto impatto.
Anche quando trattati correttamente, questi traumi possono causare una perdita della congruenza articolare, che a sua volta è la responsabile dell’evoluzione artrosica dell’articolazione.
La natura post-traumatica dell’artrosi di caviglia ha un’altra peculiarità: il malallineamento, spesso associato a fratture complesse, scomposte o esposte, e comunque di difficile riduzione, tipiche di traumi ad alta energia. Queste fratture, nonostante trattamenti rigorosi, possono causare deformità articolari, come il varismo.
A differenza della protesica di anca e ginocchio, che in molti casi prevede di intervenire su articolazioni ben allineate o con lievi disallineamenti, la chirurgia della caviglia si confronta frequentemente con deformità significative, che rendono particolarmente complessi gli interventi.
Per questo motivo, è fondamentale affidarsi a un chirurgo esperto e a centri specializzati per il trattamento di questa patologia.
Dolore
Il dolore è il primo segnale che qualcosa non funziona come dovrebbe. Questo è conseguenza del deterioramento delle cartilagini articolari e del malallineamento spesso associato, che non permette all’articolazione di lavorare in asse.
Queste due condizioni creano un circolo vizioso di infiammazione e danneggiamento progressivo della cartilagine e causano dolore durante la deambulazione e in determinati movimenti articolari.
All’inizio, il dolore si manifesta in maniera più acuta dopo lunghe ore di immobilità, per esempio al risveglio mattutino. Con la ripresa del movimento, nel corso della giornata, questi sintomi si attenuano, anche se possono presentare momenti di riacutizzazione.
In fasi più tardive della malattia, invece, il dolore compare anche a riposo, è profondo, poco localizzato, favorito da un precedente sovraccarico articolare o da cambiamenti meteorologici.
Rigidità
La rigidità articolare è un’altra caratteristica rilevante dell’artrosi. E' causata sia dalla formazione di osteofiti, un tentativo del corpo di stabilizzare l’articolazione, sia dalla contrazione muscolare, che diventa gradualmente meno tonica a causa dei movimenti ridotti. Questa perdita di mobilità, lenta e progressiva, non migliora senza trattamenti specifici.
L’articolazione può apparire dolente alla palpazione, ai movimenti passivi e, ovviamente, alla deambulazione. Durante il movimento, inoltre, possono essere avvertiti crepitii o scrosci a causa del consumo della cartilagine articolare, dell’incongruenza dei capi articolari e/o alla presenza di osteofiti.
Tumefazione
In modo lento e progressivo, l’artrosi della caviglia porta alla tumefazione della zona interessata, che può essere anche dolente al tatto. A causare il gonfiore sono l’infiammazione e il versamento di liquido sinoviale, il fluido che è contenuto nella membrana protettiva dell’articolazione e serve a “lubrificare” l’articolazione stessa.
Deformazione
Ricordo, infine, che a causa della sua preponderante natura post-traumatica – il 70% dei casi, come detto sopra – la caviglia può presentarsi deformata e non allineata (non in asse). Questo perché gli interventi di riduzione e sintesi, eseguiti dopo una frattura della caviglia, non sempre riescono a ripristinare la corretta anatomia dell’articolazione.
La deformità è un altro sintomo distintivo del processo artrosico della caviglia.
Questa deformità, tipicamente in varismo, è conseguenza di fratture gravi, scomposte e talvolta esposte legate a traumi ad alta energia, come incidenti stradali, cadute in moto, infortuni sportivi. Va a complicare il quadro complessivo, causando sovraccarichi di alcune articolazioni e facendole lavorare in modo scorretto.
La deformità quindi non è solo un danno per la caviglia stessa, ma può essere causa di artrosi precoce a livello di articolazioni limitrofe come l’articolazione sottoastragalica, ma anche il ginocchio.
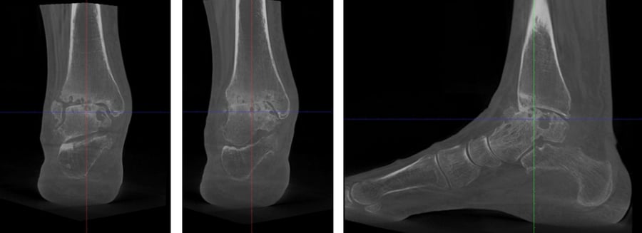
Diagnostica
La malattia può essere diagnosticata a seguito di una adeguata valutazione dei sintomi. Dopo sarà necessario procedere a appositi esami di accertamento.
Una radiografia (RX) è sufficiente per mettere in evidenza i segni caratteristici dell’artrosi e quindi della degenerazione della cartilagine articolare:
- assottigliamento della rima articolare;
- rimodellamento dell’osso sub-condrale;
- formazione di osteofiti (piccoli speroni ossei) e geodi (cisti ossee).
Per condizioni specifiche, come l’artrosi astragalo-scafoidea, una TAC può offrire un’analisi più dettagliata della morfologia articolare, utile soprattutto in fase pre-operatoria.

Decisamente più approfonditi sono gli esami clinici raccomandati nel caso in cui risulti necessario un intervento chirurgico per artrosi di caviglia.
Dato che la caviglia esercita le sue funzioni in piedi, è in questa posizione che dovrà tornare a funzionare. Sono quindi fondamentali RX di piede e caviglia in carico, appunto eseguite in piedi, per studiare l’allineamento ed i tempi chirurgici necessari per ottenere un impianto stabile nel tempo.
Per questo mi preme far notare che, nonostante sia opinione comune il contrario, la risonanza non fornisce informazioni più evolute delle radiografie perché eseguita da sdraiati e quindi in assenza di carico, fattore molto importante nel valutare la funzionalità della caviglia.
Nel mio personale planning, oltre a quanto raccomandato sopra, ritengo importante eseguire una proiezione radiografica, ideata dal collega Donald I. Saltzman, che si esegue con inclinazione del piede a 20 gradi.
Si tratta di una semplice radiografia eseguita in una posizione tale da consentire di studiare meglio la correlazione tra la posizione del calcagno, dell’astragalo e della tibia.
Infine, per studiare la qualità dell’osso su cui si deve intervenire, una TAC di caviglia e retro-piede è altrettanto importante nel planning.
Come si cura l’artrosi di caviglia?
L’artrosi di caviglia è una patologia degenerativa irreversibile. Ciò significa che si può tentare di controllarla, ma ancora oggi non è permesso il recupero di un’articolazione danneggiata.
La cura per l’artrosi si concentra sul controllo dei sintomi e sulla preservazione della funzionalità articolare della caviglia.
I FANS (Farmaci Anti-infiammatori Non Steroidei) sono utili per il controllo del dolore. Il loro uso protratto è però sconsigliabile per i possibili effetti collaterali, come gastriti e ulcere.
Sconsigliato è anche l’uso di oppiacei, come la morfina, che possono portare ad assuefazione o del cortisone, a cui è connesso il rischio osteoporotico ed infettivo.
In sintesi, l’approccio farmacologico può essere di aiuto in determinate fasi della vita del paziente, ma non rappresenta una soluzione a lungo termine.
Artrosi di caviglia: terapie conservative
Nei casi iniziali di artrosi di caviglia, è possibile adottare approcci conservativi che mirano a migliorare la qualità della vita del paziente, ridurre il dolore e mantenere la funzionalità articolare.
Queste terapie non invasive possono rappresentare un’importante alternativa per ritardare o evitare interventi chirurgici, a patto che vengano seguite con la supervisione di specialisti esperti.
Terapie fisiche
Esistono terapie fisiche, come l’Interx e la Tecar Terapia, ancora più efficaci se eseguite in combinazione. Queste migliorano la biologia e la funzionalità dei tendini e dei muscoli deputati al movimento dell’articolazione.
Possono rappresentare, negli stadi artrosici iniziali, una valida soluzione ripetibile, in grado di procrastinare un intervento per lungo tempo.
Attenzione: parliamo di terapie che richiedono la presenza di un operatore esperto e qualificato che elabori un piano terapeutico assieme a un medico ortopedico specializzato in ambito piede e caviglia.
Medicina rigenerativa: PRP
La mia esperienza personale mi porta oggi a sconsigliare procedure infiltrative nella caviglia. Questo è vero in assoluto per i cortisonici, ma di recente vengono proposte nuove forme di viscosupplementazione (acidi ialuronici e derivati) o anche infiltrazioni intra-articolari di PRP, senza un preciso razionale scientifico. I risultati osservati sono alterni e spesso instabili.
Come prevenire l’artrosi di caviglia?
Evitare l’evoluzione dell’artrosi e preservare la funzionalità della caviglia è possibile con interventi mirati e tempestivi.
Prevenire significa:
- gestione del trauma ottimale
- cura delle deformità e prevenzione della loro evoluzione (joint preserving surgery)
- cura della cartilagine
- Medicina Rigenerativa
L’artrosi di caviglia è, nella maggior parte dei casi, sintomatica, ma non tutti i casi devono “necessariamente” finire in protesi.
Chirurgia e protesi di caviglia
Esistono di base due differenti tecniche chirurgiche per intervenire sull’artrosi di caviglia: l’artrodesi e la protesi. Vediamole entrambe.
1. Artrodesi
L’artrodesi è la fusione di un’articolazione. Di seguito ci concentriamo su quella della caviglia.
Si può eseguire con un’incisione che esponga l’articolazione o in artroscopia. In entrambi i casi l’obiettivo è ottenere una completa fusione dell’articolazione a 90 gradi.
Questo implica non solo la perdita del movimento della caviglia, ma anche una maggiore sollecitazione delle articolazioni adiacenti, che saranno esposte ad un carico di lavoro maggiore e, di conseguenza, ad un più alto rischio artrosico.
Un paziente giovane sottoposto ad artrodesi di caviglia, pertanto, corre il rischio di sviluppare artrosi in tutte le altre articolazioni del piede e di dover ricorrere, nell’arco della vita, a nuove procedure di artrodesi, ritrovandosi nel tempo con un piede piatto o sempre più rigido.
2. Protesi di caviglia
La protesi di caviglia è l’intervento che oggigiorno rappresenta il gold standard per il trattamento dell’artrosi di caviglia. Si tratta della sostituzione totale dell’articolazione degenerata con un impianto in grado di riprodurre il movimento e che si avvicini il più possibile alla sua fisiologia.
Rispetto ai pazienti affetti da artrosi dell’anca o del ginocchio, quelli colpiti da artrosi della caviglia possono essere molto più giovani e, in quanto tali, avere maggiori esigenze di mobilità nella vita di tutti i giorni. Questo fattore oggi non è più una controindicazione alla protesi, grazie agli impianti di nuova generazione.
La protesi di caviglia è una soluzione affidabile grazie ai materiali utilizzati, sempre più all’avanguardia, e ai design protesici. Questi riproducono con massima precisione e il più fisiologicamente possibile, l’anatomia e la biomeccanica della caviglia.
Anche nel caso di una deformità preesistente oggi è indicata la protesi. Condizione essenziale in questo caso è che il chirurgo abbia un’esperienza consolidata nella protesica di caviglia e nelle tecniche di ricostruzione.
Se vuoi approfondire l’argomento, leggi anche: “Protesi di caviglia: 12 informazioni importanti per il paziente”.
Controindicazioni e nuove tecniche
L’unica controindicazione alla protesi, tanto da consigliare l’artrodesi di caviglia, è rappresentata dalla mancanza di bone-stock (accertabile con la TAC), ossia di riserva di osso su cui appoggiare l’impianto.
Nei pazienti con un bone-stock insufficiente o in quelli che soffrono di patologie neurologiche periferiche (drop foot), l’artrodesi, ovvero la fusione della caviglia che viene bloccata a 90° rispetto alla gamba, rimane l’unica opzione possibile.
Ricercando informazioni su internet relativamente alla tecnica protesica ci si può imbattere in svariate altre opinioni contrarie a questo tipo di intervento. Questa errata scuola di pensiero si è radicata a causa delle vecchie protesi, utilizzate più di 15 anni fa.
Oggi, i casi in cui la protesi di caviglia non può essere eseguita sono sempre più limitati grazie ai nuovi design protesici, che permettono un risparmio osseo importante dando la possibilità al chirurgo di posizionare una protesi anche in quelle situazioni in cui il bone stock è molto ridotto.
Guardando al futuro, ci si sta sempre più orientando verso la tecnica definita “resurfacing”, che consiste nella riduzione del volume degli impianti protesici e nello sviluppo di disegni protesici sempre più vicini all’anatomia originaria della caviglia.
Ciò è possibile grazie a materiali in grado di riprodurre le caratteristiche fisiche dell’osso, la sua porosità, rigidità ed elasticità.
Per esempio, l’introduzione di un materiale come il Trabecular Metal (Tantalio sottoposto ad una lavorazione particolare) consente oggi una procedura di resurfacing con impianti più piccoli ed anatomici, che velocizzano sensibilmente il tempo di recupero. Questo impianto viene inserito da un’incisione laterale, anziché anteriore come di consueto.
In Italia ad oggi sono il chirurgo che ha eseguito il maggior numero di interventi e di follow-up con la tecnica del resurfacing. È una scelta rivoluzionaria ed affidabile, che offre grandi vantaggi, ma che al momento è riservata ad alcuni casi clinici selezionati.
Con oltre cento interventi eseguiti utilizzando la protesi “Hintegra” (Mobile-Bearing) e oltre trecento casi con la protesi TM-Ankle Zimmer-Biomet (Fix-Bearing o Resurfacing con accesso laterale), rappresento un punto di riferimento unico in Italia nella cura dell’artrosi di caviglia. Inoltre, la mia esperienza è supportata da una vasta produzione di letteratura scientifica pubblicata su PubMed.
Per approfondire, consiglio di consultare lo studio con i risultati della nostra tecnica chirurgica su JBJS America
.
Ricovero
Prima dell’intervento si procede al pre-ricovero, durante il quale il paziente si sottopone agli esami del sangue, ad un ulteriore controllo ortopedico e alla valutazione anestesiologica.
L’anestesia praticata è generalmente di tipo combinato, in grado di addormentare la gamba per lungo tempo, se possibile fino al mattino seguente, per ridurre l’uso di farmaci per il controllo del dolore.
Il ricovero avviene il giorno dell’intervento o il giorno prima. Può durare da 2 a 4 giorni. Accertato che la ferita chirurgica ed il dolore non richiedono controlli medici quotidiani si sarà dimessi.
Ritorno in campo
L’intervento di protesi di caviglia è una procedura sempre più frequente che prevede, tuttavia, un rigoroso follow-up e un delicato decorso post-operatorio che garantisca un’immediata osteointegrazione, piuttosto che una precoce mobilizzazione.
-
I miei pazienti vengono immobilizzati con un gesso o un tutore per 6 settimane, anche se il carico viene concesso generalmente a 3 settimane.
-
È fondamentale che il paziente si presenti ad un controllo settimanale fino alla completa guarigione della cute (3-5 settimane dopo l’intervento).
-
Passate 3-6 settimane sono previste le prime RX di controllo in carico.
-
Una volta rimossa l’immobilizzazione è fondamentale la rieducazione al passo. Per questo raccomando ai miei pazienti idrokinesiterapia (rieducazione al passo in acqua), stretching del tricipite e successivamente rieducazione propriocettiva.
-
Il paziente è di nuovo autosufficiente a circa 2 mesi dall’intervento, guida la macchina dopo 3-4 mesi, e raggiunge la completa soddisfazione post operatoria intorno a 6-8 mesi.
Questi tempi si riducono notevolmente grazie alle nuove procedure di resurfacing che però, come dicevamo, vanno valutate caso per caso.
La ricerca scientifica e l’artrosi di caviglia
Il mio impegno nella prevenzione e nel miglioramento della chirurgia per la cura dell’artrosi di caviglia è oggetto di quotidiano studio e ricerca. Per approfondire questi temi e apprezzare il mio lavoro nello sviluppo di innovazioni a livello internazionale vi invito a visitare il blog su questo sito.
FAQ: Alcune domande frequenti sull’artrosi di caviglia
In questa sezione voglio rispondere ad alcune delle domande che mi vengono poste più spesso in merito all’artrosi di caviglia.
Artrite e artrosi sono la stessa cosa?
Un utilizzo improprio della terminologia medica spesso causa infelici confusioni.
Nonostante alcune somiglianze, soprattutto in termini di sintomi ed effetti, artrite e artrosi sono due malattie ben distinte.
Se, come abbiamo visto, l’artrosi è una malattia degenerativa che colpisce spesso soggetti più anziani (specie se pensiamo all’artrosi dell’anca o del ginocchio), l’artrite è una patologia infiammatoria cronica e ne esistono oltre 100 tipologie.
L’artrite può presentarsi a tutte le età e le cause possono essere di origine autoimmune, metabolica, traumatica, infettiva o idiopatica.
Una delle più conosciute è sicuramente l’artrite reumatoide.
Se sospetto di avere l’artrosi alla caviglia, cosa devo fare?
Riconoscere i sintomi è il primo passo, il secondo e più importante è rivolgersi ad un medico ortopedico esperto, che sappia trattare il caso e consigliare la terapia più adatta.
Per una diagnosi sicura è indispensabile avere a disposizione una radiografia del piede e della caviglia eseguita in carico (stando in piedi).
Una radiografia mostra tutti i segni tipici dell’artrosi:
-
usura della cartilagine articolare;
-
presenza di geodi e osteofiti.
Inoltre proprio perché in carico ci può fornire importanti informazioni sulla deformità che colpisce l’articolazione.
Ho l’artrosi di caviglia ma sono giovane, è possibile?
L’artrosi di caviglia è una patologia che colpisce prevalentemente pazienti giovani.
In questo senso è quindi molto invalidante, colpendo un pubblico che è nella piena attività lavorativa.
Questo perché come detto precedentemente, l’artrosi alla caviglia avviene nel 70% dei casi in seguito a traumi.
Si tratta di traumi ad alto impatto che portano spesso a fratture importanti e talvolta esposte, il più delle volte trattate con interventi volti a risintetizzare e ricomporre la caviglia stessa.
Per quanto precisi siano questi interventi, raramente si rilevano sufficienti a ripristinare l’articolazione, che è come un puzzle in cui i vari pezzi non combaciano più perfettamente.
Ecco perché si parla di artrosi post-traumatica.
Qual è la soluzione più affidabile?
Quest'ultima domanda è forse quella che più frequentemente mi viene posta.
La soluzione che ad oggi riteniamo essere il gold standard prevede la possibilità di mantenere il movimento a livello dell’articolazione. Si tratta della protesi di caviglia.
Nella protesi di caviglia infatti l’articolazione non viene bloccata, evitando quella che in termini medici si chiama artrodesi. Inoltre, grazie al mantenimento della mobilità, questa scelta non induce un sovraccarico delle articolazioni circostanti e quindi non si avrà il rischio di sviluppare artrosi a livello delle altre articolazioni del piede, o di quelle di distretti sovrastanti come il ginocchio.
In aggiunta le protesi moderne permettono un risparmio osseo che facilita eventuali interventi di revisione, permettendo appunto di revisionare una protesi di caviglia con un’altra protesi di caviglia, per continuare a mantenere il movimento articolare.