L'alluce valgo è una delle deformità più comuni del piede.
Nei pazienti che ne sono affetti, l'alluce devia verso le altre dita del piede, causando la sporgenza laterale dell'articolazione metatarso-falangea. La patologia può provocare dolore, infiammazione e difficoltà nell'uso di calzature normali.
In questo articolo ne descriviamo i sintomi, le cause e il percorso di diagnosi. Inoltre analizziamo i rischi di un trattamento tardivo e presentiamo la panoramica completa dei possibili rimedi, dalle soluzioni conservative alle opzioni chirurgiche più efficaci.
Cos’è l’alluce valgo?
L'alluce valgo è una deformità progressiva del piede che si manifesta con la deviazione laterale dell'alluce verso le altre dita.
Questa anomalia crea una sporgenza ossea, comunemente nota come "cipolla", alla base dell'alluce stesso (articolazione metatarso-falangea).

Tale deviazione non solo provoca dolore e difficoltà a calzare le scarpe, ma altera anche la biomeccanica del passo. L'alluce, fondamentale per la spinta e l'equilibrio, perde la sua funzione di "direttore d'orchestra" della deambulazione.
Ciò provoca un sovraccarico delle dita adiacenti e della pianta del piede, con possibili conseguenze, come la formazione di calli dolorosi.
La patologia nell'uomo e nella donna
L'alluce valgo è la prima causa di chirurgia del piede nella donna e la seconda nell'uomo.
È più diffuso tra le donne perché l'uomo, in genere, trova più facilmente modo di difendersi dagli effetti di questa patologia modificando le calzature. Per la donna è spesso più difficile, poiché la scelta della scarpa ha a che fare con la sua femminilità e con il suo modo di comunicare la propria socialità.
Vediamo quindi quali sono le sue cause scatenanti e i primi sintomi che non dovremmo ignorare.
Le cause dell’alluce valgo
Per troppo tempo si è associato, con eccessiva semplicità e semplicismo, l'alluce valgo all'abitudine di indossare scarpe femminili, strette in punta e con tacco alto.
In realtà, la causa maggiore e non modificabile è genetica. Non si parla dell'esistenza di un gene specifico dell'alluce valgo, ma esiste una forte componente di familiarità che predispone a questa deformità.
Tuttavia, anche l'epigenetica (ovvero l'influenza dell'ambiente e dello stile di vita sui geni) ha il suo ruolo. I fattori di rischio che possiamo controllare includono:
- Sovrappeso.
- Mancata variazione delle calzature e l'abitudine di vivere sui tacchi. Il problema non è indossare i tacchi in sé, ma la mancanza di "momenti di pausa" che non offrono la possibilità al piede e all'alluce di riposare e muoversi correttamente.
- Sedentarietà.
Passiamo adesso alla descrizione dei sintomi.
I sintomi dell’alluce valgo
L'alluce valgo è una patologia complessa e i suoi sintomi vanno ben oltre il semplice dolore localizzato.
Trattandosi di una deformità multiplanare, i segnali di allarme non riguardano solo la deviazione laterale (verso le altre dita), ma anche la rotazione dell'alluce.
I sintomi si manifestano in tre aree principali:
- sul dito stesso;
- sulle altre articolazioni del piede;
- sulla funzione motoria generale.
Riassumiamo brevemente i sintomi principali nella tabella sottostante:
| Area interessata | Primo stadio | Stadio moderato | Stadio grave |
| Alluce e articolazione metatarso-falangea | Deviazione laterale lieve dell'alluce. Lieve prominenza ossea mediale. Dolore occasionale con calzature strette. |
Prominenza ossea evidente ("cipolla"). Borsite con gonfiore, calore e rossore. Dolore frequente anche con calzature normali. |
Deviazione marcata. Borsite severa con rischio di ulcerazione. Articolazione rigida o artrosica. Dolore cronico e costante. |
| Altre dita e articolazioni adiacenti | Nessun coinvolgimento rilevante. | Inizio di deviazione del secondo dito (dita a martello). Formazione di callosità plantari da alterato appoggio. Metatarsalgia centrale. |
Sovrapposizione o sottoposizione del secondo dito del piede sull'alluce (cross toe). Lesione del legamento plantar plate. Callosità importanti. Metatarsalgia stabilizzata. |
| Funzione motoria generale | Lieve difficoltà con calzature strette o a punta. | Difficoltà ad indossare calzature chiuse normali. Alterazione dell'appoggio plantare. Inizio di modifiche al passo. |
Deambulazione compromessa. Alterazione posturale. Qualità della vita significativamente ridotta. Camminata antalgica. |
Approfondiamo adesso tutti i sintomi, partendo dal primo gruppo.
Sintomi primari a livello dell'alluce
La maggior parte dei sintomi primari di un alluce valgo possono essere raggruppati così:
- Borsite e infiammazione: La sporgenza ossea (la "cipolla") alla base dell'alluce è soggetta a sfregamento con le calzature. Ciò causa infiammazione cronica e borsite, ovvero una sacca infiammata che provoca dolore e arrossamento.
- Rotazione (multiplanarietà): La rotazione del dito può causare problemi all'unghia (come onicopatia), che può incarnirsi o diventare più scura. Spesso questi sintomi non traggono beneficio dalle comuni cure dermatologiche.
- Callosità compensatorie: A causa della metatarso-falangea deformata e inefficiente, le articolazioni adiacenti (tra le falangi) sono costrette a iperfunzionare. Ciò si traduce nella formazione di un callo tra falange e falange, un segno del tentativo di compensazione da parte del piede.

Questo sovraccarico si estende anche alle altre dita e alle strutture circostanti.
Sovraccarichi e deformità secondarie
Quando l'alluce perde la sua funzione di “direttore d’orchestra” si creano sovraccarichi sulle altre articolazioni e sui raggi metatarsali. Questi portano a:
- Metatarsalgia e callosità plantari: L'uso sproporzionato delle altre dita e la modifica del carico portano a ipercheratosi plantari, ovvero calli sulla pianta del piede. Inoltre causano l'insorgenza della metatarsalgia.
- Deformità delle altre dita: A lungo andare, la metatarsalgia può determinare l'insorgenza di deformità come le dita a griffe o a martello.
- Sintomi a livello del collo del piede: Sullo stesso raggio metatarsale, il sovraccarico può portare alla formazione di una sporgenza (gobbetta) al centro del piede. Questa può infastidire a causa dello sfregamento con alcune tipologie di scarpe.
- Dolore esteso: I sovraccarichi si estendono oltre il piede, causando potenziali fastidi e dolori anche alle ginocchia, alle anche e, in particolare, alla schiena, come evidenziato nelle conseguenze posturali.

In foto: paziente con alluce valgo accompagnato da dita a griffe e a martello.
Non solo. La stessa funzione motoria può essere compromessa dalla presenza di un alluce valgo.
Conseguenze dell’alluce valgo sulla funzione motoria
Uno dei sintomi più impattanti dell'alluce valgo è la compromissione della funzione motoria, che si manifesta con:
- Alterazione del passo: Una netta modifica del modo di camminare.
- Modifica del gesto della corsa: Difficoltà o cambiamenti nel modo di correre.
- Limitazione nell'uso delle calzature: Il dolore e la deformità limitano la possibilità di indossare diverse tipologie di scarpe, con un impatto significativo sulla vita quotidiana e sociale.
Per la serietà dei possibili sintomi, è importante riconoscere presto la comparsa dell’alluce valgo.
Come riconoscere un alluce valgo di primo stadio
Riconoscere l'alluce valgo nella sua fase iniziale è fondamentale per rallentare la progressione della deformità con le scelte corrette. Il primo stadio si presenta con segnali sottili, spesso ignorati o attribuiti ad altri fattori:
- Deviazione visibile: L'alluce, quando si è in posizione eretta, inizia a deviare leggermente verso il secondo dito. Ciò riduce lo spazio naturale tra le due dita.
- Sintomi cutanei minimi: Si assiste alla comparsa dei primi piccoli calli o di un leggero arrossamento alla base del primo dito del piede (la "cipolla"), che sono il risultato dello sfregamento contro le calzature.
- Fastidio con le calzature: Scarpe che in precedenza risultavano perfettamente comode iniziano a dare un leggero fastidio, specialmente in punta.
- Funzione motoria preservata: Nonostante l'inizio della deformità, alla prima insorgenza dell’alluce valgo la maggior parte delle funzioni del piede è ancora garantita. L'alluce mantiene una buona mobilità e i sintomi dolorosi sono minimi o quasi assenti.

Anche se i sintomi sono lievi, è importante valutare subito la patologia e le terapie più adeguate.
Cosa succede se non si cura l’alluce valgo
La risposta è che dipende: non sempre l'evoluzione è drammatica.
Per questo è fondamentale, con l'aiuto di uno specialista, distinguere gli alluci che necessitano di attenzione e monitoraggio attivo da quelli che possono essere considerati "stabili".
In generale, l'intervento chirurgico è un'opzione che si valuta quando la patologia risponde ad almeno tre dei seguenti quattro criteri fondamentali:
- Fa male: Il dolore è significativo e limita le attività quotidiane.
- Limita nelle calzature: La deformità impedisce di indossare la maggior parte delle scarpe.
- Evolve: La deformità è instabile e progressiva.
- Non piace: Il fattore estetico è fonte di disagio per il paziente.
Sebbene avere due di questi criteri sia un segnale da valutare, la vera chiave decisionale è l'evolutività.
La cascata degli eventi: dalla deformità all'instabilità
Esistono alluci valghi che sono intrinsecamente instabili e tendono a evolvere determinando una deformità sempre maggiore. Questa progressione segue una vera e propria "cascata di eventi" che trasforma un piccolo inestetismo in un problema ortopedico complesso, con altre patologie del piede:
- L'alluce devia ulteriormente, affliggendo il secondo dito.
- Si sviluppa metatarsalgia centrale (dolore ai metatarsi centrali).
- Si può associare una lesione del legamento chiamato plantar plate, che non sostiene più correttamente l'articolazione.
- Questa cascata induce la formazione di un callo doloroso e un'alterazione della postura del secondo dito, che diventa un dito a griffe.
- Nei casi più gravi, questo dito può deformarsi fino a incrociarsi con l'alluce, generando la deformità chiamata cross toe (alluce sovrastato dal secondo dito).
A questo punto, il secondo dito non funge più da "argine" naturale. La deformità evolve rapidamente, si creano calli fastidiosi e il problema non è più solo il dolore, ma una profonda instabilità che affligge il passo e l'equilibrio.

Foto di una paziente con alluce valgo e sovrapposizione del secondo dito.
Tuttavia, non sempre questa progressione si manifesta in tutta la sua impetuosità.
Per questo motivo, una valutazione specialistica è cruciale: intervenire prima è l'ideale per evitare di correggere gravi deformità. Allo stesso tempo, operare un alluce valgo che non evolve e non crea limitazioni funzionali potrebbe configurarsi come un overtreatment (trattamento eccessivo).
Le conseguenze per la schiena e le altre articolazioni
L'alluce valgo induce deformità sulle altre dita, ma è correlato anche al retropiede e ad alcuni problemi per ginocchia, anche e schiena.
Per questo ridurre questa patologia a un semplice inestetismo o dito storto è un errore che può costare caro.
Dobbiamo pensare all’alluce come al direttore d'orchestra del nostro passo: quando si ammala, l'armonia dell'intero sistema di deambulazione viene compromessa.
Le ripercussioni possono estendersi ben oltre il piede, causando alterazioni posturali che portano a fastidi e dolori, incluse conseguenze per la schiena e le altre articolazioni.
Alluce valgo e retropiede
È vero che un piede piatto può indurre un alluce valgo, ma è vero anche il contrario.
Partiamo dal primo caso: un piede piatto può indurre instabilità a livello delle articolazioni del mesopiede (tra metatarsali e cuneiformi, il core del piede). In questi casi, l'alluce può reagire diventando valgo o rigido.
Allo stesso modo, un alluce valgo può indurre problemi al retropiede. Indubbiamente può essere causa di fascite plantare e di altri dolori che si irradiano fino al tendine d'Achille e al tricipite.
Le correlazioni con il ginocchio e l’anca
Se l'alluce non spinge, si induce soprattutto un sovraccarico laterale. Camminare sul bordo laterale del piede induce delle rotazioni che possono avere conseguenze.
Normalmente il ginocchio compensa bene queste variazioni, che si manifestano più comunemente a livello dell'anca come trocanteriti, per via delle rotazioni patologiche.
La trocanterite è un'infiammazione che colpisce la borsa sierosa o i tendini che si inseriscono sul grande trocantere del femore (la sporgenza ossea laterale dell'anca).
Poiché l'alterazione del passo dovuta all'alluce valgo provoca un sovraccarico laterale e un anomalo schema di rotazione dell'arto inferiore, questa zona dell'anca viene stressata e sollecitata in modo eccessivo, innescando l'infiammazione.
È importante sapere che non è vero che un alluce valgo possa indurre una artrosi dell'anca e, quindi, la necessità di una protesi. Ma è vero che può provocare l’insorgere di dolori articolari, come appunto una trocanterite.
Le conseguenze dell’alluce valgo per la schiena e la colonna vertebrale
L’alluce valgo può provocare sintomi anche a livello più alto, sulla schiena e colonna vertebrale.
È evidente che un corpo che fa fatica a stare in piedi solleciterà in modo maggiore la muscolatura che usiamo per la stazione eretta e per stabilizzare il bacino. A essere interessati sono soprattutto tre muscoli: il tensore della fascia lata, il quadrato dei lombi e l’ileopsoas.
- Tensore della fascia lata (TFL): Questo muscolo stabilizza il bacino e il ginocchio. Un passo patologico, caratterizzato da una rotazione o da un’instabilità anomala, lo costringe a lavorare in eccesso per mantenere l'equilibrio laterale. Ciò causa tensione e dolore, spesso correlato alla trocanterite.
- Quadrato dei lombi: È un muscolo profondo della schiena, fondamentale per la stabilità della colonna lombare e del bacino. Quando il passo è alterato, il bacino si muove in modo scorretto o asimmetrico. Di conseguenza il quadrato dei lombi è costretto a contrarsi in modo sproporzionato per "agganciare" il bacino e mantenere il tronco dritto, generando dolore lombare.
- Ileo-psoas: Il principale flessore dell'anca, cruciale per sollevare la gamba durante il passo. Un passo inefficace o instabile richiede una maggiore attivazione e uno sforzo non ottimale dell'ileopsoas per compiere il movimento, portando a sovraccarico e sofferenza.
Non disperiamo però: un paziente sano e in forma ha capacità di compenso infinite anche in presenza di un alluce valgo. Ecco perché è fondamentale curare sempre il proprio benessere, mangiando bene e facendo esercizio fisico.
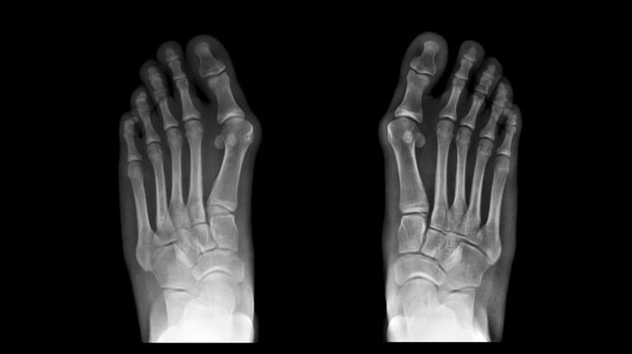
Il percorso di diagnosi
La diagnosi di alluce valgo è molto semplice a un primo sguardo. Si osserva l'alluce che devia verso il secondo dito e si nota la borsite (la cosiddetta "cipolla"). Nella maggior parte dei casi, il paziente arriva dallo specialista avendo già formulato un'auto-diagnosi.
Tuttavia, il medico specialista si basa sulla clinica ed è in grado di valutare:
- L'evolutività della deformità.
- Le possibili soluzioni terapeutiche.
- L'impatto sulle altre articolazioni.
Per una diagnosi completa, lo specialista ha bisogno di visitare il paziente osservandolo fermo in piedi (in stazione eretta) e mentre cammina. Inoltre sono utili alcune forme di imaging.
Il ruolo dell'imaging per la diagnosi di alluce valgo
L'imaging serve per studiare in dettaglio la deformità dell’alluce valgo e comprendere quale sia la cura più appropriata, se conservativa o chirurgica, sulla base dell'evolutività. Può includere:
- Esame di indagine base: Una radiografia dei piedi in carico, meglio se bilaterale. È fondamentale che le radiografie siano eseguite in carico (cioè stando in piedi) e che siano bilaterali. Questo permette di studiare l'anatomia del piede mentre lavora e di confrontare i due piedi, che spesso sono simili anche se solo uno fa male.
- Imaging avanzato: Un’indagine più avanzata è la TAC in carico (utilizzando tecnologia cone-beam a basso dosaggio di raggi). Questa offre una visione tridimensionale (invece che schiacciata su due dimensioni come la RX) e permette di studiare l'anatomia mentre lavora, stando in piedi. Questo permette di studiare la deformità e capirne meglio l'evolutività.

Intelligenza Artificiale (AI) e TAC in carico nella diagnosi
Oggi la diagnostica si avvale anche di strumenti di rielaborazione dell'immagine basati su AI, che permettono di:
- Segmentare l'immagine, isolando e analizzando con estrema precisione i singoli segmenti scheletrici del piede (falangi, metatarsi, cuneiformi, ecc.). Questo permette uno studio molto più approfondito rispetto alla semplice ispezione manuale.
- Misurare la deformità (come l'angolo di deviazione dell'alluce) in modo automatico o semi-automatico. Questo garantisce una maggiore accuratezza, riduce l'errore umano e permette di ottenere dati prognostici affidabili per prevedere l'evoluzione della patologia.
- Monitorare l'andamento della deformità nel tempo, verificando se è "stabile" o "evolutiva".
- Pianificare la chirurgia creando rendering (simulazioni tridimensionali) dell'intervento. Queste aiutano il chirurgo a scegliere la tecnica chirurgica più adatta (es. mini-invasiva percutanea, tradizionale) e a pianificare con precisione i tagli ossei e le correzioni necessarie, migliorando l'efficacia e l'esito dell'operazione.

Caso di alluce valgo e metatarsalgia: planning preoperatorio con Tac in carico ed elaborazione 3D.
La combinazione tra Intelligenza Artificiale e TAC in Carico è un avanzamento fondamentale nella diagnostica dell'alluce valgo, per i seguenti motivi:
- La TAC in Carico permette di studiare la deformità quando il piede è nella sua condizione di lavoro. Questo è cruciale perché molte deformità del piede si manifestano o peggiorano solo sotto sforzo.
- L'AI interviene per elaborare e valorizzare i dati complessi ottenuti dalla scansione tridimensionale, offrendo allo specialista strumenti di analisi avanzati.
Insieme permettono una pianificazione terapeutica personalizzata, valutando la gamma completa delle opzioni terapeutiche: conservative, chirurgiche tradizionali e di chirurgia mini-invasiva percutanea.

Tac in carico con elaborazione 3D e fotografia post-operatoria che mostrano la correzione ottenuta con l'intervento chirurgico.
I rimedi per l’alluce valgo
Partiamo dal presupposto che il rimedio più efficace per questa patologia è correggerla chirurgicamente, e oggi esistono tecniche chirurgiche assolutamente affidabili e a bassa invasività.
La chirurgia
La tecnica migliore, secondo i dati della letteratura, è l'intervento per alluce valgo con tecnica MICA (mini-invasiva di terza generazione).
Questa è una tecnica che il mio gruppo e la mia attività personale hanno contribuito a introdurre in Italia, su cui abbiamo pubblicato e descritto modifiche. La insegniamo nella Foot and ankle academy di Humanitas University, di cui sono il fondatore.

Foto post-operatoria con evidenziate le cicatrici derivate dalle incisioni con tecnica mini-invasiva.
Detto questo, spesso i pazienti quando cercano rimedi non immaginano la chirurgia, ma delle soluzioni che la evitino.
Vediamo quindi alcuni rimedi conservativi per l'alluce valgo.
Plantari e solette per alluce valgo
Possono riallineare l'alluce? NO!
Ma possono curare alcuni sintomi che la deformità induce. La metatarsalgia, ad esempio, può essere curata con dei plantari. Se però il sintomo maggiore è la borsite, il plantare occuperà spazio nella scarpa e non sarà la risorsa ideale.
Calzine
Esistono calzine che riallineano l'alluce? No, ma indubbiamente fare attenzione a ridurre gli attriti sulla borsite aiuta.
Creme locali
Alcune creme applicate localmente possono ridurre l'infiammazione causata dal valgismo dell’alluce. Ne esistono sia a base di antinfiammatori, che a base di rimedi naturali come l'Arnica.

Idrochinesiterapia e ginnastica vascolare
L'idrochinesiterapia può agire come un'efficace forma di ginnastica vascolare, sfruttando le proprietà dell'acqua.
Semplici esercizi come camminare in acqua o alternare immersioni in acqua calda e fredda (bagni di contrasto) aiutano a stimolare la circolazione, ridurre il gonfiore e migliorare il tono muscolare del piede e della gamba. Ciò contribuisce all'attenuazione dei sintomi infiammatori.
Crioterapia o terapia del ghiaccio per l’alluce valgo
La crioterapia è un rimedio eccellente per la gestione del dolore e dell'infiammazione.
In caso di borsite acuta o dolore post-attività, l'applicazione di ghiaccio sulla "cipolla" aiuta a ridurre il flusso sanguigno nell'area. Così limitiamo il gonfiore e forniamo un rapido sollievo antalgico.
La crioterapia avanzata, invece, può essere eseguita in saune dedicate, le criosaune. Questa tecnica sfrutta temperature estremamente basse per innescare una potente reazione antinfiammatoria e analgesica a livello sistemico.
Esiste infine una via di mezzo tra crioterapia tradizionale e avanzata. Si tratta di dispositivi dedicati noleggiabili, che permettono un trattamento più intenso e mirato rispetto al semplice ghiaccio, ma senza la necessità di accedere a una criosauna professionale.
Esercizio fisico: il rimedio più importante
Non esiste un esercizio che raddrizzi un alluce valgo, ma esistono pratiche che permettono al nostro corpo di usarlo meglio.
- Esercizi propriocettivi: Esercizi che ricreino la rullata del passo su tappetini morbidi che, mediante l'affondamento, diano uno stimolo propriocettivo.
- Esercizi di equilibrio: Esercizi di appoggio e di equilibrio monopodalico. Sforzandosi di usare i flessori dell'alluce e delle dita come stabilizzatori dell'equilibrio, rieducano l'alluce a fare da direttore d'orchestra del passo.
- Potenziamento muscolare: Esercizi di potenziamento del tricipite (meglio se eseguiti in eccentrico) e tono trofismo del quadricipite aiuteranno l'arto inferiore a gestire al meglio la deformità.
Abbiamo descritto alcuni esercizi per alluce valgo in un blog apposito su questo argomento.
Benessere generale
Se dobbiamo gestire un alluce valgo patologico, in primis facciamo esercizio fisico e mangiamo bene per ridurre le fonti di infiammazione. A tal proposito, verificare e mantenere i livelli idonei di vitamina D è il primo passo per predisporre il paziente a guarire, in caso di sintomi o in caso si pianifichi la chirurgia.
FAQ: Le risposte ad alcune domande frequenti sull'alluce valgo
È dalla conoscenza e dalla comprensione profonda della patologia che si mettono i pazienti nella condizione di fare le scelte corrette per la loro salute.
Per questo chiudiamo l’articolo con una sezione FAQ, che aiuti a intraprendere un percorso decisionale consapevole e personalizzato.
È possibile prevenire l’alluce valgo?
Come già visto, l'alluce valgo è una patologia con una forte familiarità, in cui la genetica gioca un ruolo cruciale.
Nella sezione sui rimedi conservativi, abbiamo spiegato che l'esercizio fisico dedicato, pur non essendo una soluzione, educa il corpo a usare meglio il proprio piede. Come tale può essere considerato una forma di prevenzione indiretta. Fra queste si trovano anche:
- Mantenere un peso sano.
- Evitare uno stile di vita sedentario.
- Variare le calzature e non portare sempre scarpe col tacco.
Per quanto riguarda la prevenzione attiva, il nostro gruppo ha sviluppato un metodo di utilizzo di plantari intelligenti supportati da software AI.
Questi plantari non servono per curare la deformità, ma per misurare e interpretare il passo. Vengono fatti indossare al paziente durante la camminata e la corsa, e registrano dati che permettono di studiare variabili come l'appoggio, la fase di stacco, la spinta e il rapporto tra le articolazioni.
Grazie al supporto del software AI, offrono una forma avanzata di interpretazione del passo per rieducare il paziente a un passo fisiologico.
A quale specialista è necessario rivolgersi per la diagnosi e le cure?
La figura di riferimento per la diagnosi e la cura dell'alluce valgo è il medico chirurgo specialista in Ortopedia e Traumatologia.
Dato che la chirurgia ortopedica è diventata supersettoriale, è consigliabile rivolgersi a un professionista che abbia una Fellowship (ossia una superspecializzazione) in Chirurgia della Caviglia e del Piede. Questa specializzazione avanzata offre generalmente uno scenario terapeutico e diagnostico più completo e aggiornato.
Il percorso di cura può poi avvalersi della collaborazione di altri professionisti sanitari:
- Il fisioterapista interviene con l'esercizio fisico terapeutico. La sua figura è fondamentale sia nell'approccio conservativo, per migliorare l'uso del piede, sia nel decorso post-operatorio in cui supporta il paziente nell'esecuzione degli esercizi riabilitativi.
- Il podologo ha un ruolo chiave nell'esecuzione di plantari per la cura della metatarsalgia e può collaborare con lo specialista per la gestione dei bendaggi.
- Il tecnico ortopedico si occupa della progettazione e dell'esecuzione dei plantari, un ruolo che condivide con il podologo in questo specifico ambito.
Quando è necessario operare l’alluce valgo?
Come abbiamo già visto nella sezione sull’evoluzione dell’alluce valgo esistono criteri specifici per valutare la necessità di un intervento chirurgico. In genere si ricorre alla chirurgia quando l’alluce valgo provoca un dolore al piede invalidante o è in fase progressiva.
Le quattro domande che seguono rappresentano il mio test professionale per dare risposte chiare e semplici al paziente. In generale, l'intervento chirurgico è un'opzione che si valuta con una risposta affermativa ad almeno tre di questi quattro criteri fondamentali:
- Fa male: Il dolore è significativo e limita le attività quotidiane?
- Limita nelle calzature: La deformità impedisce di indossare la maggior parte delle scarpe?
- Evolve: La deformità è instabile e progressiva?
- Non piace: Il fattore estetico è fonte di disagio per il paziente?
Sebbene avere due di questi criteri sia un segnale da valutare, la vera chiave decisionale è l'evolutività, che viene studiata con la TAC in carico. I plantari intelligenti, invece, ci mostrano l'impatto sul nostro modo di camminare e possono fornire motivazioni o risposte aggiuntive per decidere se operare o meno.
Come funziona l'intervento chirurgico?
La procedura chirurgica prevede la resezione parziale e il riposizionamento dell’osso che sporge. Il trattamento può essere mirato anche su entrambi i piedi nel caso al paziente sia stata diagnosticata una forma di alluce valgo bilaterale.
Esistono diverse famiglie di tecniche chirurgiche:
1. l’approccio chirurgico open con un’incisione diretta;3. l’approccio mini-invasivo di nuova generazione (MICA), che avviene tramite mini accessi di 3 mm.
Il valore delle tecniche mini invasive in chirurgia è descritto dalla parola stessa. Tendenzialmente, infatti, si preferisce questo approccio, perché caratterizzato da incisioni minime, tempi chirurgici ridotti e recupero post-operatorio rapido e indolore.
Esistono rimedi non chirurgici efficaci?
Sì, esistono diversi rimedi non chirurgici, ovvero conservativi, che possono alleviare i sintomi e rallentare la progressione dell'alluce valgo. Tuttavia, è importante sottolineare che il rimedio più efficace per correggere la patologia resta l'intervento chirurgico.
I trattamenti conservativi, come descritto più in alto nell'articolo, si concentrano sulla gestione del dolore, dell'infiammazione e sul miglioramento della funzione motoria.
Curare il proprio benessere, seguire una dieta sana per ridurre le fonti di infiammazione e mantenere livelli idonei di Vitamina D sono accorgimenti fondamentali per la loro efficacia.
Come si può sfiammare e alleviare il dolore causato dall’alluce valgo?
La soluzione migliore per sfiammare e alleviare il dolore dell’alluce valgo, parte dalla riduzione dell’attrito.
- Sono da evitare le scarpe strette. Queste possono sfregare sulla "cipolla" peggiorando l’infiammazione. Idealmente, le calzature scelte dovrebbero avere punta larga e materiali morbidi.
- In caso di borsite è preferibile rimuovere temporaneamente i plantari dalla scarpa. Con la sua rimozione aumenta lo spazio a disposizione del piede, riducendo l'attrito.
- È utile anche sostituire le calze, se tendono a formare pieghe all'interno della scarpa. Queste possono creare sfregamenti e punti di pressione aggiuntivi, contribuendo al dolore.
Il secondo step prevede l’uso di soluzioni anti-infiammatorie di vario tipo.
- Il paziente può applicare ghiaccio sulla "cipolla" in caso di dolore acuto.
- Alcune creme locali a base di antinfiammatori o agenti naturali aiutano a ridurre l'infiammazione superficiale.
- Anche gli antinfiammatori orali sono utili in caso di dolore acuto o in previsione di un sovraccarico, come una lunga camminata. La loro assunzione tuttavia deve essere discussa con il medico curante o lo specialista.
Questi rimedi aiutano a gestire i sintomi nell’immediato. Sul lungo termine consigliamo di ricorrere alle terapie conservative descritte in precedenza e seguire le indicazioni dello specialista per eventuali cure conservative o chirurgiche.