INDICE
- Gli studi sulla cartilagine e le nuove prospettive di ricerca
- Differenze fra la cartilagine di caviglia e quella del ginocchio o dell’anca
- Tipi di lesioni cartilaginee
- I trattamenti disponibili oggi
- Il lavoro di ricerca del nostro gruppo
Cos'è la cartilagine della caviglia
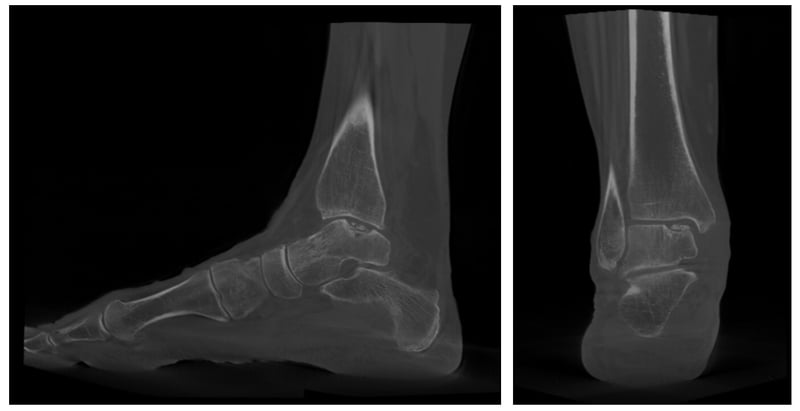
La cartilagine della caviglia è il tessuto che riveste le superfici ossee dell'articolazione tibio-tarsica, nel punto in cui tibia, perone e astragalo si incontrano per permettere i movimenti di flessione ed estensione del piede.
Si tratta di cartilagine ialina, un tessuto altamente specializzato con un basso potenziale rigenerativo, non vascolarizzato, che assorbe il nutrimento dal liquido sinoviale e dall'osso subcondrale. Il suo ruolo è fondamentale, perché distribuisce i carichi che attraversano l'articolazione a ogni passo, protegge le superfici ossee dall'attrito e consente il movimento fluido tra le componenti articolari.
Cartilagine caviglia: gli studi recenti e le nuove prospettive di cura
Un concetto che può sembrare scontato, ma in realtà non lo è assolutamente se pensiamo che, ad esempio, nel 2011 mentre lavoravo alla Duke University studiavamo e pubblicavamo su American Journal of Sport Medicine (una delle massime riviste scientifiche sul tema) i risultati di trapianti osteocartilaginei dal ginocchio alla caviglia. Nel 2011 questa sembrava la nuova frontiera.

Oggi, meno di dieci anni dopo, le nuove frontiere di ricerca guardano verso tre diversi campi: la rigenerazione, la riparazione e la cura del pavimento sotto la cartilagine, ovvero dell’osso subcondrale.
Questo nuovo approccio si è reso necessario proprio alla luce delle caratteristiche specifiche della cartilagine di caviglia.
Cosa differenzia la cartilagine della caviglia da quella del ginocchio e dell’anca
La cartilagine della caviglia ha caratteristiche uniche sia in termini istologici che meccanici.
Le differenze sono rilevabili a livello molecolare. Il contenuto di proteoglicani nella matrice extracellulare è significativamente maggiore nella cartilagine della caviglia rispetto a quella del ginocchio. Questo, insieme a un contenuto di acqua inferiore, le conferisce una maggiore rigidità e una minore permeabilità idraulica.
In termini pratici, la cartilagine della caviglia è strutturalmente più densa e resistente al carico, rispetto a quella del ginocchio, e le sue cellule rispondono in modo diverso alle lesioni, con una maggiore capacità di contenere la degenerazione.
Queste differenze spiegano un dato clinico apparentemente controintuitivo: pur essendo la caviglia un'articolazione che sopporta carichi elevati a ogni passo, l'artrosi di caviglia è significativamente meno frequente di quella del ginocchio o dell'anca.

Ciò però non significa che le lesioni cartilaginee della caviglia siano meno serie. Al contrario, proprio perché la struttura è specializzata e difficile da replicare, ogni danno richiede un approccio diagnostico e terapeutico mirato.
Prima di analizzare le cure disponibili, però, è necessario distinguere diversi tipi di lesione cartilaginea.
Tipi di lesioni cartilaginee
Le lesioni cartilaginee della caviglia possono essere distinte in due categorie principali: condrali e osteocondrali. Questa distinzione è clinicamente rilevante perché determina la gravità del trauma, le opzioni di trattamento e i tempi di recupero.
Le lesioni condrali
Sono lesioni superficiali che intaccano solo lo strato cartilagineo, senza raggiungere l'osso.
Possono essere causate da un trauma diretto, da un impatto improvviso o dall'usura progressiva dovuta a sovraccarico. In questa fase, la cartilagine può presentare abrasioni, fissurazioni o aree di ammorbidimento.
Il paziente avverte generalmente dolore all'attività, gonfiore e, nei casi più avanzati, una sensazione di scricchiolio durante il movimento.
Le lesioni osteocondrali
Le lesioni osteocondrali si verificano quando il danno attraversa la cartilagine e raggiunge la struttura ossea che funge da supporto e nutrimento alla cartilagine stessa.
Nell'articolazione della caviglia, si verificano quasi sempre a carico dell'astragalo, e possono portare a un distacco parziale o completo di un frammento osteocartilagineo.
Le cause sono prevalentemente traumi o microtraumi ripetuti, fra cui specialmente le distorsioni. In questo caso può succedere che le lesioni non vengano riconosciute nella fase acuta e che si manifestino solo settimane o mesi dopo, quando il dolore persiste nonostante la guarigione dei legamenti. Più raramente possono essere collegate a problemi vascolari o difetti dello sviluppo.

Il sintomo principale di una lesione osteocondrale è il dolore. Questo può presentarsi già dai primi passi, dopo lunghi percorsi o solo durante l'attività sportiva. Al dolore si aggiungono gonfiore, rigidità mattutina e, nei casi più avanzati, una sensazione di blocco o di cedimento dell'articolazione.
Le cisti subcondrali
È necessario menzionare anche le cisti subcondrali, lesioni che riguardano solo l'osso subcondrale senza intaccare lo strato cartilagineo superficiale. Possono interessare l'astragalo o la tibia e, se trascurate, possono evolvere in lesioni osteocondrali vere e proprie. Sono spesso identificate solo con risonanza magnetica e rappresentano un segnale di sofferenza profonda dell'articolazione che non va sottovalutato.
I trattamenti disponibili oggi
Dai tre campi di ricerca che abbiamo menzionato precedentemente, si sono evoluti tre metodi di cura completamente diversi fra loro:
- La rigenerazione si preoccupa di utilizzare delle tecniche biologiche e di medicina rigenerativa volte a rigenerare la cartilagine laddove non era presente.
- La riparazione invece si occupa di andare a restituire una ritrovata stabilità a frammenti cartilaginei distaccati parzialmente o del tutto distaccati. Definiamo queste tecniche con la sigla LDFF (Lift: solleva il segmento patologico, Drill: stimola osso sotto il frammento patologico, Fill: riempi il difetto osseo, Fix: stabilizza il frammento cartilagineo distaccato).
- Infine la comprensione del danno cartilagineo può venire dal sotto e quindi dalla sofferenza dell’osso subcondrale, quest’aspetto ha aperto la strada a procedure di stabilizzazione di un osso spongioso edematoso mediante procedure di subchondroplasty.

La scelta tra questi approcci non è discrezionale. Per definire la soluzione migliore è necessario fare una valutazione specialistica con il chirurgo che, sulla base della clinica e degli esami (Rx in carico, RMN e TAC), valuterà la strategia a seconda del tipo di lesione. Dimensione, profondità e localizzazione della lesione, oltre all’età del paziente, sono i parametri che orientano ogni decisione.
Quando è indicato il trattamento conservativo
Non tutte le lesioni richiedono chirurgia. Quelle molto piccole si gestiscono con una riduzione del carico, idonee terapie fisiche e trattamenti infiltrativi. Richiedono un controllo in risonanza magnetica a 6-12 mesi per valutare l'evoluzione.
Quando e come si ricorre alla rigenerazione
Per le lesioni dove la cartilagine è assente o degenerata, l'obiettivo è produrre nuovo tessuto. Le microperforazioni e le nanoperforazioni richiamano cellule staminali dal midollo osseo verso la superficie articolare e per lesioni inferiori a 0,7 cm sono spesso sufficienti.
Per lesioni più grandi o profonde, si aggiunge una membrana collagenica biologica, che guida le cellule richiamate, producendo un tessuto molto più vicino alla cartilagine originale.
La tecnica AT-AMIC, sviluppata e pubblicata dal nostro gruppo nel 2015, rappresenta oggi l'applicazione artroscopica di questo principio, eseguibile in modo mininvasivo.

Un approccio innovativo differente è la tecnica Minced-Cartilage (Autocart). Questa tecnica, che il mio gruppo esegue artroscopicamente, prevede il prelievo dei frammenti danneggiati di cartilagine, la loro aspirazione ed attivazione fuori dal corpo con esposizione associata ad enzimi e PRP. Il tessuto così ottenuto ha un aspetto denso che consente la sua reintroduzione a sostituire il difetto in artroscopia.
Il mio algoritmo prevede tecnica Minced Cartilage (Autocart) per le lesioni inferiori al centimetro di diametro, la tecnica At-Amic per le lesioni maggiori con possibile associazione di tecnica Minced Cartilage per rendere la ricostruzione davvero anatomica.
La riparazione per stabilizzare i frammenti distaccati
Quando esiste un frammento cartilagineo parzialmente o completamente distaccato, l'obiettivo è fissarlo prima che perda la sua vitalità.
La variabile cruciale in questo caso è il tempo che intercorre fra lesione, diagnosi e trattamento. Un frammento ancora ancorato e vascolarizzato risponde in modo radicalmente diverso rispetto a uno distaccato da mesi. Questo è il motivo per cui un dolore persistente dopo una distorsione non va mai ignorato: la finestra terapeutica favorevole si chiude.
Le tecniche di riparazione prevedono la stabilizzazione artroscopica con viti riassorbibili o ancore ossee, a volte integrate con membrane biologiche o tecniche di Minced Cartilage.
Il trattamento dell'osso subcondrale: la subchondroplasty
Questa tecnica viene implementata quando il danno non parte dalla cartilagine ma dall'osso subcondrale sottostante, il cui edema progressivo destabilizza meccanicamente la cartilagine che lo sovrasta. La subchondroplasty è una procedura mininvasiva che prevede l'iniezione di materiale da riempimento nell'osso edematoso per ripristinarne la stabilità strutturale. È indicata in casi selezionati, soprattutto quando la risonanza magnetica mostra un edema osseo significativo, e spesso si combina con le tecniche di rigenerazione cartilaginea.
In ogni caso, i tre approcci appena descritti non si escludono a vicenda. In molti pazienti il trattamento ottimale è dato da una combinazione di metodi diversi.
Il lavoro di ricerca del nostro gruppo
Il nostro gruppo storicamente si è dedicato allo studio e allo sviluppo di tecniche di rigenerazione della cartilagine. Partendo da AMIC abbiamo sviluppato e descritto la tecnica AT-AMIC (Arthroscopic Amic) che abbiamo studiato in ogni suo aspetto, pubblicando i nostri risultati sulle maggiori riviste scientifiche. Tutto questo è stato, indubbiamente, un passo in avanti, ma non è ancora abbastanza.
È dall’incontro fra filosofie diverse che si migliora, rendendo possibile il raggiungimento di nuovi obiettivi. Riteniamo infatti che la rigenerazione abbia un ruolo importante, ma che il confronto con scuole diverse dalla nostra, che con grande tradizione e rigore scientifico propongono la riparazione e la stabilizzazione di questi frammenti cartilaginei, abbia uguale importanza.
Crediamo fortemente, quindi, che la sfida della ricerca futura non sia di guardare verso la rigenerazione o verso la riparazione, ma che la ci debba offrire la risposta di quando eseguire rigenerazione e di quando eseguire stabilizzazione perché con algoritmi più chiari e più semplici è possibile comprendere meglio i propri risultati e fare un ulteriore balzo in avanti nella ricerca.

Inoltre, le evoluzioni delle tecniche di imaging e diagnosi hanno aperto una nuova prospettiva diversa.
La TAC in carico, infatti, offre la possibilità di ottenere una misura affidabile della lesione, ma anche di andarne a misurare la reale forma, grazie a strumenti associati a intelligenza artificiale. Apprezzare la forma della lesione permette di essere ancora più precisi e di scegliere la tecnica che permetta la ricostruzione anatomica più efficace associando tecniche diverse di rigenerazione in base al caso.
Il nostro gruppo ha avviato questo filone di ricerca descrivendo come andare ad individuare la forma della lesione, misurarne l’area e guidare il paziente ed il chirurgo nella scelta terapeutica.
FAQ: Domande frequenti sulla cartilagine della caviglia
Chiudiamo l’articolo rispondendo ad alcune delle domandi più comuni sulla cartilagine della caviglia e sulle patologie che possono interessarla.
Come viene diagnosticata una lesione alla cartilagine della caviglia?
La diagnosi parte sempre dalla visita clinica specialistica e dall'anamnesi del paziente.
L'iter strumentale raccomandato prevede tre esami distinti, ciascuno con un ruolo specifico.
-
Prima di tutto, la risonanza magnetica per studiare la biologia della lesione e accertare l'entità dell'edema osseo.
-
Poi la TAC, per comprendere le reali dimensioni della lesione, che la risonanza spesso sovrastima.
-
Infine la radiografia eseguita in carico, per identificare eventuali deviazioni assiali del retropiede o della caviglia che potrebbero sovraccaricare l'area lesionata e compromettere il risultato della terapia.
Questi tre esami non sono intercambiabili. Forniscono informazioni complementari e vanno interpretati insieme dallo specialista per definire la strategia terapeutica più adatta. La diagnosi definitiva spesso avviene a distanza dall'evento acuto, perché la risonanza magnetica è un esame di secondo livello, da pianificare ad almeno 20 giorni dopo un evento distorsivo.
La cartilagine della caviglia si può rigenerare?
La cartilagine della caviglia non si può rigenerare in modo spontaneo, perché è un tessuto avascolare con un potenziale rigenerativo molto limitato. Quando si danneggia, il tessuto che si forma spontaneamente è fibrocartilagine, una struttura disorganizzata con proprietà meccaniche inferiori rispetto a quello originale.
Tuttavia, come abbiamo visto in questo articolo, sono state sviluppate tecniche biologiche in grado di guidare la formazione di un tessuto sempre più simile alla cartilagine nativa. La tecnica AT-AMIC rappresenta l'applicazione artroscopica più avanzata di questo approccio.
Quali sono i tempi di recupero per una lesione cartilaginea alla caviglia?
I tempi variano in modo significativo in base a tre fattori:
-
la dimensione e la profondità della lesione
-
la tecnica chirurgica utilizzata
-
l'età del paziente e le sue richieste funzionali
Come regola generale, dopo un intervento artroscopico di rigenerazione cartilaginea, il paziente non carica sull'arto operato per le prime 6-8 settimane, per proteggere il tessuto in formazione.
Il ritorno alla deambulazione normale avviene tipicamente tra i 2 e i 4 mesi. Il ritorno allo sport, nei pazienti che lo praticano, richiede mediamente dai 6 ai 9 mesi, e fino a 12 mesi per le attività ad alto impatto.
Per le lesioni trattate con sole nanoperforazioni i tempi sono generalmente più brevi. La riparazione di frammenti distaccati invece ha tempi simili, ma dipende fortemente dalla vitalità del frammento al momento dell'intervento, dato che intervenire precocemente riduce sia la complessità dell'intervento che i tempi di recupero.
Qual è la differenza tra lesione cartilaginea e artrosi della caviglia?
Una lesione cartilaginea è un danno localizzato, che riguarda una porzione specifica della cartilagine, spesso conseguenza di un trauma o di una distorsione. Il resto dell'articolazione può essere integro. Se diagnosticata e trattata nei tempi giusti, è una condizione trattabile con buone prospettive di recupero.
L'artrosi di caviglia è invece una condizione degenerativa dell'intera articolazione. È causata dalla progressiva perdita del tessuto cartilagineo, ma riguarda anche le strutture scheletriche, legamentose e capsulari, e perfino i muscoli. A differenza di una lesione focale, è una patologia degenerativa irreversibile.
La distinzione è fondamentale perché determina obiettivi terapeutici completamente diversi.
BIBLIOGRAFIA
Usuelli FG, de Girolamo L, Grassi M, D'Ambrosi R, Montrasio UA, Boga M. All-Arthroscopic Autologous Matrix-Induced Chondrogenesis for the Treatment of Osteochondral Lesions of the Talus. Arthrosc Tech. 2015 Jun 8;4(3):e255-9. doi: 10.1016/j.eats.2015.02.010. PMID: 26258040; PMCID: PMC4523902.
Usuelli FG, D'Ambrosi R, Maccario C, Boga M, de Girolamo L. All-arthroscopic AMIC® (AT-AMIC®) technique with autologous bone graft for talar osteochondral defects: clinical and radiological results. Knee Surg Sports Traumatol Arthrosc. 2018 Mar;26(3):875-881. doi: 10.1007/s00167-016-4318-4. Epub 2016 Sep 12. PMID: 27620469; PMCID: PMC5847209.
Usuelli FG, Maccario C, Ursino C, Serra N, D'Ambrosi R. The Impact of Weight on Arthroscopic Osteochondral Talar Reconstruction. Foot Ankle Int. 2017 Jun;38(6):612-620. doi: 10.1177/1071100717695349. Epub 2017 Feb 1. PMID: 28379733.
D'Ambrosi R, Maccario C, Ursino C, Serra N, Usuelli FG. The role of bone marrow edema on osteochondral lesions of the talus. Foot Ankle Surg. 2018 Jun;24(3):229-235. doi: 10.1016/j.fas.2017.02.010. Epub 2017 Mar 6. PMID: 29409254.
D'Ambrosi R, Maccario C, Serra N, Liuni F, Usuelli FG. Osteochondral Lesions of the Talus and Autologous Matrix-Induced Chondrogenesis: Is Age a Negative Predictor Outcome? Arthroscopy. 2017 Feb;33(2):428-435. doi: 10.1016/j.arthro.2016.09.030. Epub 2016 Dec 10. PMID: 27956234.
DʼAmbrosi R, Villafañe JH, Indino C, Liuni FM, Berjano P, Usuelli FG. Return to Sport After Arthroscopic Autologous Matrix-Induced Chondrogenesis for Patients With Osteochondral Lesion of the Talus. Clin J Sport Med. 2019 Nov;29(6):470-475. doi: 10.1097/JSM.0000000000000560. PMID: 31688177.
D'Ambrosi R, Maccario C, Ursino C, Serra N, Usuelli FG. Combining Microfractures, Autologous Bone Graft, and Autologous Matrix-Induced Chondrogenesis for the Treatment of Juvenile Osteochondral Talar Lesions. Foot Ankle Int. 2017 May;38(5):485-495. doi: 10.1177/1071100716687367. Epub 2017 Jan 11. PMID: 28076977.
Efrima B, Barbero A, Maccario C, Indino C, Nocera C, Albagli A, Dahmen J, Usuelli FG. Significant Clinical Improvement After Arthroscopic Autologous Matrix-Induced Chondrogenesis for Osteochondral Lesions of the Talus: A 5-Year Follow-Up. Cartilage. 2026 Mar;17(1):101-108. doi: 10.1177/19476035241240341. Epub 2024 Mar 30. PMID: 38554040; PMCID: PMC11569665.
Usuelli FG, D'Ambrosi R, Maccario C, Indino C, Manzi L, Maffulli N. Adipose-derived stem cells in orthopaedic pathologies. Br Med Bull. 2017 Dec 1;124(1):31-54. doi: 10.1093/bmb/ldx030. PMID: 29253149.
D'Ambrosi R, Usuelli FG. Osteochondral lesions of the talus: are we ready for metal? Ann Transl Med. 2018 Nov;6(Suppl 1):S19. doi: 10.21037/atm.2018.09.24. PMID: 30613594; PMCID: PMC6291598.
Walther M, Valderrabano V, Wiewiorski M, Usuelli FG, Richter M, Baumfeld TS, Kubosch J, Gottschalk O, Wittmann U. Is there clinical evidence to support autologous matrix-induced chondrogenesis (AMIC) for chondral defects in the talus? A systematic review and meta-analysis. Foot Ankle Surg. 2021 Apr;27(3):236-245. doi: 10.1016/j.fas.2020.07.011. Epub 2020 Aug 16. PMID: 32811744.
Dahmen J, Indino C, D'Ambrosi R, Usuelli FG. Needle Arthroscopic Subchondroplasty With Adipose-Derived Stem Cell Augmentation for the Treatment of Osteochondral Lesions of the Talus. Arthrosc Tech. 2023 Sep 4;12(10):e1649-e1656. doi: 10.1016/j.eats.2023.05.014. PMID: 37942119; PMCID: PMC10627869.
Efrima B, Dahmen J, Barbero A, Benady A, Maccario C, Indino C, Kerkhoffs G, Usuelli FG. Enhancing precision in osteochondral lesions of the talus measurements and improving agreement in surgical decision-making using weight-bearing computed tomography and distance mapping. Knee Surg Sports Traumatol Arthrosc. 2024 Jul;32(7):1871-1879. doi: 10.1002/ksa.12172. Epub 2024 Apr 9. PMID: 38591657.