da Artrodesi a Protesi
Non serve strappare le pagine della vita, basta saper voltare pagina e ricominciare.
– Jim Morrison –
Introduzione
Artrodesi è un termine ortopedico che indica la fusione di un’articolazione. L’artrodesi della tibiotarsica ha quindi l’obiettivo di fondere la caviglia.
Questo intervento ha rappresentato storicamente l’unica soluzione chirurgica possibile per la cura dell’artrosi di caviglia.
Oggi, ovviamente, esistono soluzioni diverse che permettono di preservare il movimento, che si racchiudono in due grandi categorie:
- joint-preserving-surgery: ossia una chirurgia volta a risparmiare l’articolazione, riallineando la deformità e favorendo la rigenerazione cartilaginea;
- protesi di caviglia.
Pertanto, è corretto affermare che l’artrodesi oggi è indicata solo quando non è possibile preservare il movimento mediante joint-preserving-surgery o mediante una protesi.
Tuttavia, l’artrodesi è stata una soluzione molto popolare in passato e oggi tanti pazienti vivono con un’artrodesi di caviglia.
Se l’artrodesi è posizionata nel modo corretto [ossia, con il piede che appoggia fisiologicamente e la caviglia a 90°], è probabile che il paziente sia soddisfatto dell’artrodesi e conduca una vita normale, senza zoppicare o senza gravi limitazioni.
Nel tempo, però, il sacrificio di un’articolazione importante, come la caviglia, può portare ad un incremento di lavoro per le articolazioni vicine.
Esistono studi che dimostrano come un paziente sottoposto ad artrodesi di caviglia abbia un rischio significativamente aumentato di sviluppare artrosi a livello delle articolazioni più vicine e, quindi, di aver bisogno di un successivo intervento per curare questa condizione.
Perché un artrodesi può diventare dolorosa?

Se analizzassimo le caratteristiche del paziente affetto da artrosi di caviglia, rimarremmo stupiti di quale profondo impatto negativo abbia sulla qualità della vita di questi sfortunati pazienti.
Pertanto, un’artrodesi può diventare dolorosa ed indurre gravi disabilità in un paziente nei seguenti 3 casi:
- insorgenza di artrosi nelle articolazioni vicine [è un problema che normalmente si verifica a lungo termine];
- l’artrodesi non si è stabilizzata nel corretto allineamento.
Il più delle volte si verifica un malallineamento in equinismo [ossia “in punta di piedi”]. In questi casi il passo è doloroso e la disabilità e la zoppia sono importanti, coinvolgendo spesso anche il ginocchio nel compenso di questa deformità; - l’artrodesi non è guarita, ossia non è consolidata.
La disartrodesi: la revisione dell’artrodesi dolorosa

La soluzione chirurgica della disartrodesi è indubbiamente resa più facile da un approccio laterale, anche se oggettivamente possibile anche con un approccio anteriore.
Il vantaggio di un approccio laterale è che permette di avere piena visione del piano dell’artrodesi e di pianificare con precisione non solo il piano della futura articolazione, ma anche il suo centro di rotazione.
Oltra a questo, l’approccio laterale offre un ulteriore vantaggio: la possibilità di eseguire una lisi efficace dei tessuti molli posteriori [muscoli e tendini], che in un’artrodesi risulteranno necessariamente adesi al piano osseo, in seguito ai tanti anni di fusione.
Nella mia esperienza, pertanto, per una disartrodesi l’approccio di scelta risulta essere quello laterale, rispettando i diversi tempi chirurgici in modo molto simile ad una protesi di caviglia tradizionale.
Ovviamente, però, si tratta di un intervento tecnicamente più difficile per tutto il team: chirurghi, ferristi e paziente. È, pertanto, necessaria un’attenta pianificazione ed una profonda valutazione dei rischi e benefici realmente prospettabili. Infine, è fondamentale che venga programmato in un centro di riferimento, dove tutto il team coinvolto abbia consuetudine con la soluzione chirurgica proposta.
Chi è il candidato “ideale” per la disartrodesi?
Non è sufficiente avere un’artrodesi di caviglia per essere pazienti candidabili all’intervento di disartrodesi con protesi di caviglia.
Esistono pazienti portatori di artrodesi completamente asintomatici o che lamentano davvero piccole disabilità: questi non sono i candidati per intraprendere un simile iter chirurgico.
Infatti, è bene ricordare come questo sia un percorso disegnato per i pazienti prostrati da una grave disabilità.
Una disartrodesi ha l’obiettivo di dare di nuovo al paziente un piede plantigrado, ossia un piede che appoggia fisiologicamente con la caviglia a 90° e l’ulteriore possibilità di estendere e flettere.
Non bisogna pensare ad un disartrodesi come ad una caviglia sana che muoverà ampiamente su tutti i piani.
È bene ricordare che una disartrodesi di successo è meglio di un’artrodesi dolorosa, ma non raggiungerà mai le performance di una caviglia sana.
Pertanto, alla base di questa scelta deve esserci sempre una riflessione equilibrata. Si sceglie una disartrodesi non per il rimpianto di aver fatto un’artrodesi, invece di una protesi, ma solo quando l’artrodesi è dolorosa e disabilitante.
Visita specialistica revisione artrodesi

Si pianifica l’indicazione ad una disartrodesi durante la visita specialistica, in cui è consigliabile avere a disposizione indagini di imaging approfondite ed esami del sangue.
Gli esami del sangue [emocromo, VES, PCR e fibrinogeno] sono utili per contribuire ad escludere un processo settico in atto [infezione] prima dell’intervento. In tal caso, non è possibile procedere con l’intervento di disartrodesi, ma si pianificherà una procedura chirurgica transitoria per favorire la guarigione dall’infezione.
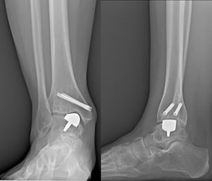
Sono, poi, fondamentali le indagini di imaging ed in particolare le radiografie dei piedi e delle caviglie in carico bilaterale (eseguite stando in piedi).
La radiografia in carico è imprescindibile per il corretto studio della deformità.
È molto utile avere a disposizione l’immagine anche del lato controlaterale, per poter studiare l’anatomia originaria del paziente, da sano.
Infine, la TAC è l’esame che permette di studiare la qualità dell’osso e di verificare la reale affidabilità dell’intervento, in quanto una protesi, per avere successo, deve appoggiare su osso di qualità sufficiente a garantire la stabilità dell’impianto stesso.
Il percorso post-operatorio
Ogni nostro intervento protesico segue un percorso ben preciso che comincia, in realtà, prima dell’intervento, con la scelta dell’anestesia.
Seguiamo un protocollo in linea con i principi di Rapid Recovery della chirurgia protesica di altri distretti anatomici, per cui normalmente il paziente si sottopone ad un’anestesia periferica, associata, in caso di necessità, ad una sedazione o ad una anestesia generale.
Il paziente avrà la sensazione di avere la gamba addormentata il più a lungo possibile, talvolta fino al giorno dopo. Questo servirà per avere un buon controllo del dolore.
Inoltre, il paziente uscirà dalla sala operatoria con uno stivaletto gessato in vetro-resina, che lo accompagnerà per 4 settimane.
La dimissione è prevedibile in un periodo che oscilla tra i 2 ed i 3 giorni post-operatori.
A casa, al paziente verrà chiesto di mantenere l’arto elevato e di muovere le dita del piede, attivamente e passivamente.
Il primo controllo verrà previsto a 15 giorni per la desutura e la ripresa del carico graduale.
Il gesso verrà mantenuto per 4 settimane, al termine delle quali si passerà all’utilizzo di un tutore articolato, in cui sarà concesso il carico completo.
Il tutore verrà portato per 15 giorni e, poi, il paziente avrà un carico libero, possibilmente senza più stampelle.
Quindi, come è possibile dedurre, il decorso è analogo a quello di un normale percorso di protesi.
È, però, prevedibile una raggiungimento della soddisfazione del paziente in tempi più lunghi, che possono arrivare a circa 10-12 mesi dall’intervento.